-
WEB予約の注意事項
- WEB予約にて希望日が“×”の場合でも、空いている場合がございますので、その際はお電話にてお問い合わせください。
- 最初に問診票の記入とカウンセリングがありますので、予約時間の15分前にお越しください。
- 初診の方のみWEB予約を受け付けております。
- 2回目以降の受診で予約されたい方はお電話でのご予約をお願いいたします。
- MENU
-
WEB予約の注意事項
- WEB予約にて希望日が“×”の場合でも、空いている場合がございますので、
その際はお電話にてお問い合わせください。
- 最初に問診票の記入とカウンセリングがありますので、予約時間の15分前にお越しください。
- 初診の方のみWEB予約を受け付けております。
- 2回目以降の受診で予約されたい方はお電話でのご予約をお願いいたします。
-
ホーム
-
マウスピース矯正症例
マウスピース矯正症例
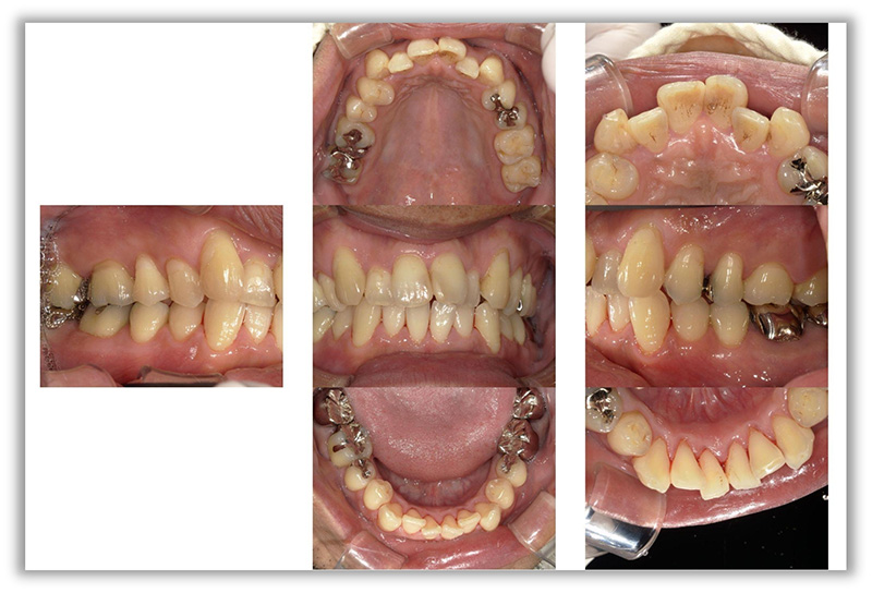
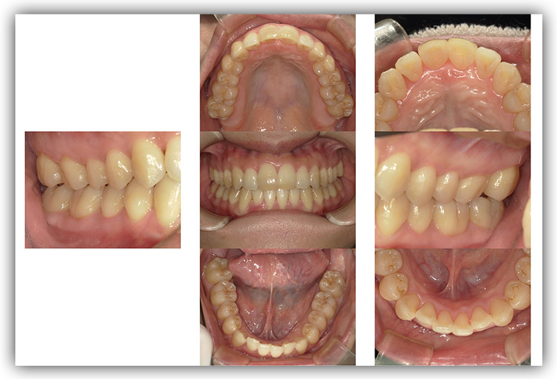
CASE_01
40代男性(インビザライン矯正+セラミック治療)
- 患者さん情報(年齢・性別)
- 40代 男性
- 主訴
- 歯並び、銀歯を白くしたい
- 治療箇所
- 10か所
- 治療方法
- 銀歯をセラミックに変更
- 費用
-
- インビザライン77万円
- セラミック10か所約80万円
- 治療期間
-
- インビザライン約1年
- セラミック治療10か所約8か月
- その治療によるリスク・副作用
-
- 歯肉退縮することがある
- 矯正中はしみたり、痛みを伴うことがある
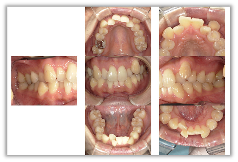
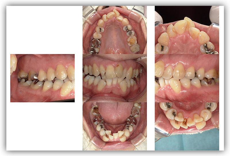
CASE_02
30代女性(インビザライン矯正)
- 患者さん情報(年齢・性別)
- 30代 女性
- 主訴
- 歯並びが気になる。自身の矯正について知りたい。
- 治療箇所
- 1箇所
- 治療方法
- インビザライン
- 費用
- 66万円
- 治療期間
- 1年4か月
- その治療によるリスク・副作用
-
- 歯肉退縮することがある
- 矯正中はしみたり、痛みを伴うことがある
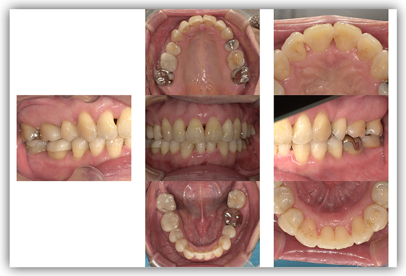
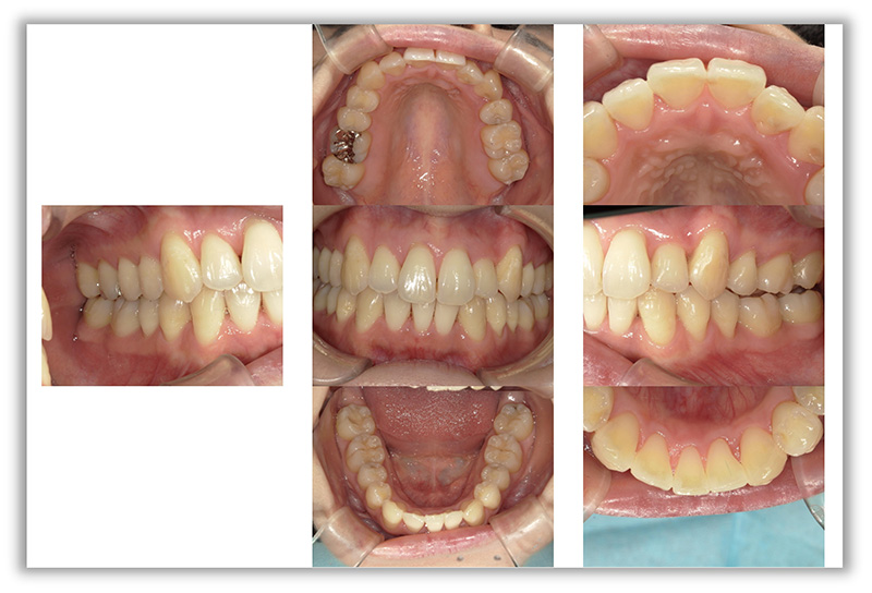
CASE_03
30代女性(インビザライン矯正)
- 患者さん情報(年齢・性別)
- 30代 女性
- 主訴
- 矯正について相談したい。前歯が出ているのがきになる。口が閉じづらい。
- 治療方法
- インビザライン矯正
- 費用
- 88万円
- 治療期間
- 約1年
- その治療によるリスク・副作用
-
- 歯肉退縮することがある
- 矯正中はしみたり、痛みを伴うことがある
- 患者様の声

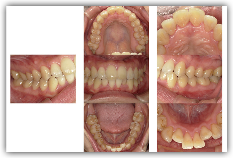
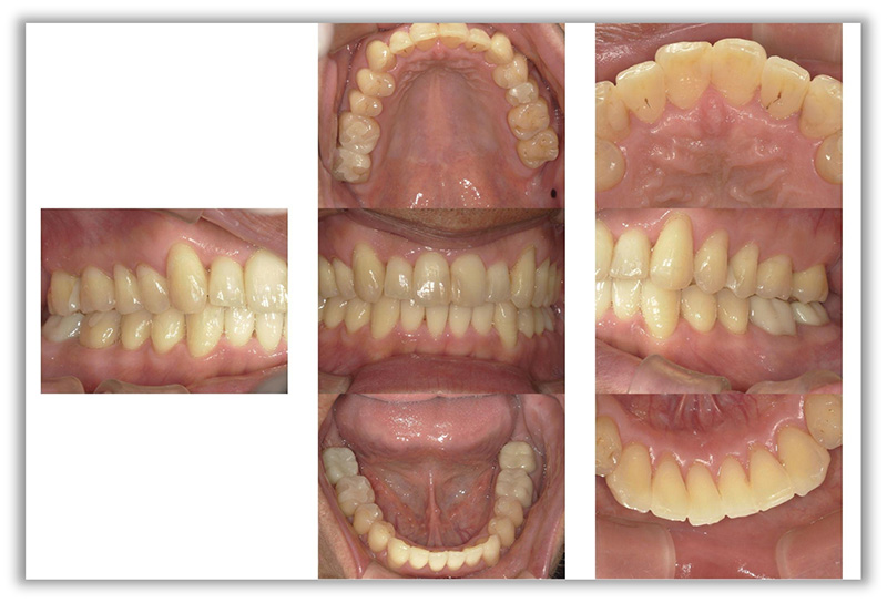
CASE_04
50代女性(インビザライン矯正+セラミック治療)
- 患者さん情報(年齢・性別)
- 50代 女性
- 主訴
- 歯並びが気になる、被せものがとれている
- 治療箇所
- インビザライン、セラミック4か所
- 治療方法
- インビザライン、セラミック治療
- 費用
- インビザライン66万円、セラミック治療22万円
- 治療期間
- 約4年
- その治療によるリスク・副作用
-
- 保険が効かない
- 歯肉退縮することがある
- 矯正中はしみたり、痛みを伴うことがある
- 患者様の声
