インプラント症例
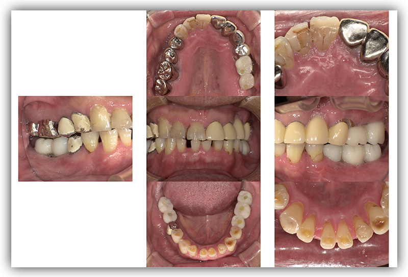
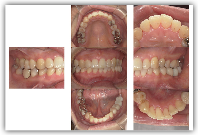
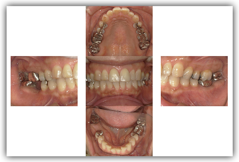
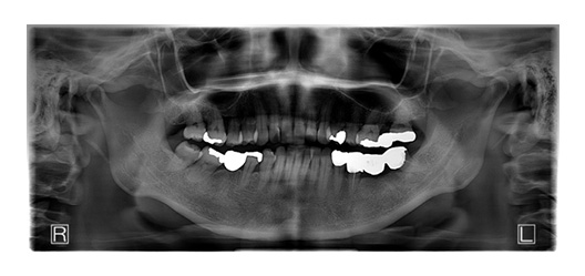
CASE_01
70代男性(インプラント)
- 患者さん情報(年齢・性別)
- 70代 男性
- 主訴
- 歯を失ってしまったところにインプラントに入れたい
- 治療箇所
- 7箇所
- 治療方法
- インプラント
- 費用
- 約320万円
- 治療期間
- 約1年
- その治療によるリスク・副作用
-
- 治療期間がながい、外科的治療が必要
- 患者様の声

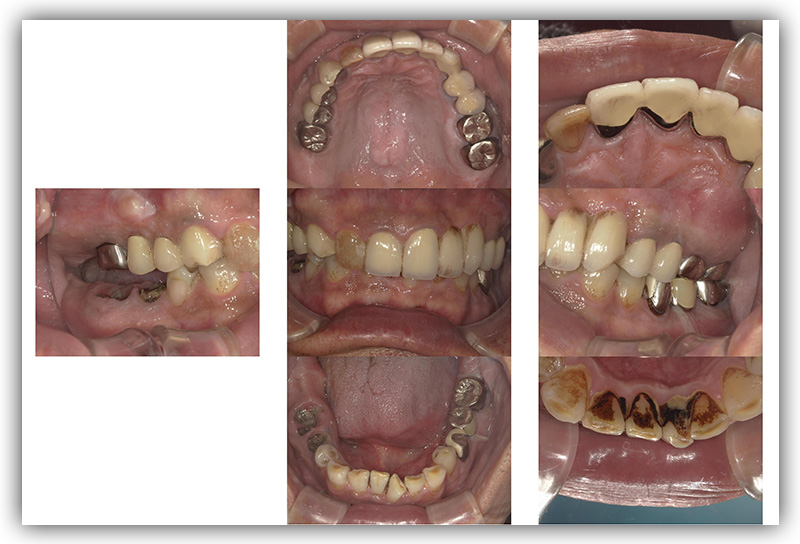
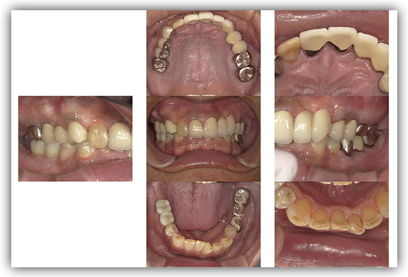
CASE_02
60代男性(インプラント)
- 患者さん情報(年齢・性別)
- 60代 男性
- 主訴
- 被せものが外れたところをインプラントにしたい
- 治療箇所
- 2箇所
- 治療方法
- インプラント
- 費用
- 約86万円
- 治療期間
- 約半年
- その治療によるリスク・副作用
-
- 治療期間がながい、外科的治療が必要
- 患者様の声

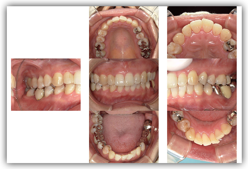
CASE_03
40代女性(インプラント)
- 患者さん情報(年齢・性別)
- 40代 女性
- 主訴
- 被せものをインプラントにしたい
- 治療箇所
- 2箇所
- 治療方法
- インプラント
- 費用
- 84万円
- 治療期間
- 約半年
- その治療によるリスク・副作用
-
- 治療期間がながい、外科的治療が必要
- 患者様の声

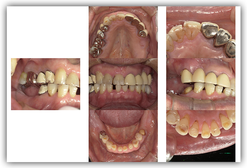
CASE_04
60代女性(インプラント)
- 患者さん情報(年齢・性別)
- 60代 女性
- 主訴
- 左下のインプラントを考えているが、怖い
- 治療箇所
- インプラント1箇所、セラミック3箇所
- 治療方法
- インプラント、セラミック治療
- 費用
- インプラント42.9万円、セラミック治療約24万円
- 治療期間
- 約1年6か月
- その治療によるリスク・副作用
-
- 保険が効かない
- 外科的治療が必要
- 患者様の声

